Team Engagement with Functional Oral Appliances

What is a functional oral appliance? How can we team support such therapies? by Glennine Varga, AAS, RDA, CTA Define ...

Provision of Oral Appliances and Regulatory Compliance: Why Your Practice Should Have a Compliance Plan

by Jayme R. Matchinski, Esq. In recent years, there have been an increasing number of government and commercial insurance company ...

How to Use Potatoes to Reduce Risk of OSA

by Tara A. Clancy, MA OSA is our greatest health risk, and yet we need only look at the low ...

The Dentist and the Otolaryngologist – Working Hard Together

People in Pittsburgh suffer as much from sleep related breathing disorders as any other part of the country, but they ...

HealthyStart®

HealthyStart, a Comprehensive Pediatric Airway System, Announces New Online Training. Two free cases treated simultaneously. Start young patients on the ...

I Gave You 10mm of Vertical…

What do you mean it’s not enough? by Frank Madrigal, CDT, President, True Function Laboratory Most of you have felt ...

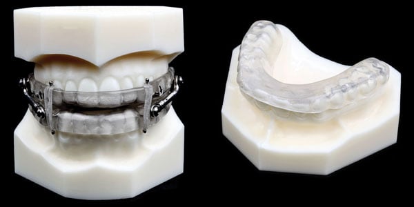
Taking OSA Devices to the Next Level

by Alex Buddemeyer, CDT Figure 1: Milled adjustable Herbst Change is difficult but in most cases can be rewarding. You ...

CO2 Laser Functional Frenectomy

by Cara Riek, DNP, RN, FNP-BC, IBCLC, DABLS; Stevanie Bahnerth, DC; and Peter Vitruk, PhD, MInstP, CPhys The goal of ...

No More Fingers: Tips for Digital Scanning Success

by Susan Wingrove, BS, RDH Digital scanning can change the way you practice – no more impressions to produce crowns, ...

Using a Precision Milled, Continuous Advancement, Oral Appliance with Symmetric Titration to Treat All Severity Levels of Obstructive Sleep Apnea

by Neal Seltzer, DMD, FAGD, D.AADSM, D.ACSDD, D.ASBA; Jeffrey S. Rein, DDS, FAGD, D.AADSM, D.ACSDD, D.ASBA; and Gina Pepitone-Mattiello RDH, C.ACSDD ...
Shopping Cart
Scroll to Top