CE Expiration Date: November 15, 2024
CEU (Continuing Education Unit):2 Credit(s)
AGD Code: 730
Educational Aims
This self-instructional course for dentists aims to show that technology has revolutionized the dental sleep medicine field. From the introduction of new appliance designs and the evolution of manufacturing methods to the growing adoption of intraoral scanners and electronical medical records, innovation is a key driver of the field’s growth. Numerous solutions have enhanced the space and provided practices with increasingly predictable and desirable clinical outcomes. These solutions can also improve profitability through reduction in chair time and dramatically abbreviating the period between initial screening and successful treatment.
Expected Outcomes
Dental Sleep Practice subscribers can answer the CE questions online to earn 2 hours of CE from reading the article. Correctly answering the questions will exhibit the reader will:
- Understand how technology can benefit a dental sleep practice
- Realize the implications of electronic medical records and intraoral scanners
- Discern the differences between various bite registration tools
- Grasp how some protocols may predictably accelerate treatment outcomes
Technology and dental sleep medicine are a good combination, increasing levels of predictability and better clinical results. Read this CE by Drs. Jason Doucette and Jeff Rodgers and see how some protocols may predictably accelerate treatment outcomes. Pass the quiz and receive 2 CE credits!
by Jason Doucette, DMD, D.ABDSM, and Jeff Rodgers, DMD, D.ABDSM
Technology continues to revolutionize the practice of dental sleep medicine (DSM). Various instruments, software, and service solutions have enhanced the field and helped provide practices with increasingly predictable and prompt clinical results. This level of predictability can lead to better clinical results faster which creates healthier patients and more productive multi-disciplinary relationships. We will explore various solutions available that help achieve three key elements:
- Improve patient acceptance and clinical outcomes
- Increase practice efficiency
- Grow practice profitability
In the field’s early days, clinicians would use the George Gauge® (Great Lakes Dental Technologies, Tonawanda, NY) and cumbersome Gothic arch tracers to lock down a bite position before pouring stone models and mounting each bite on an articulator prior to sending off for one of the few oral appliances that were available. Appliance delivery involved a lengthy process of adjusting fit followed by titrations based purely on subjective feedback and guesswork. Home sleep testing (HST) was not widely available, so many patients had to undergo multiple follow-up polysomnograms (PSG). On the administrative side, insurance coverage was spotty, and Medicare coverage did not exist. The HCFA 1500 form was manually filled out in pen and mailed in via snail mail. It seemed to be lost or denied more than 50% of the time.
Today dental sleep practices utilize dedicated electronic medical records (EMR). They can become Medicare providers, select to optimize in- and out-of-network billing solutions, and realize the enormous benefits of a fully digital health history. Many patients can be diagnosed via HST, and physician referrals or appliance prescriptions are often transmitted electronically.
To improve the accuracy of airway assessments and bite records, clinicians can leverage CBCT scans or pharyngometry and rhinometry. The increasing adoption of intraoral scanners means impressions are scanned and delivered to the lab before the patient hits the parking lot. High quality appliances are precision milled and simply drop in after being custom fabricated to our precise measurements. This generates a greater likelihood the patient will realize better outcomes sooner.
Some readers are innovators and early adopters fully leveraging technology. Others are late adopters that have yet to incorporate these time- and energy-saving tools into their practices. Yet other readers have some of these tools and not others. Unfortunately, there is another category of clinicians that cite a litany of reasons to forego sleep altogether. Their chorus of disapproval contains lyrics like “Sleep is too difficult”, “This doesn’t work, patients don’t accept treatment” and of course the hit single “It’s impossible to get paid.”
The ability to see airway collapse and minimum-crosssectional area in real time presents a compelling measurement for sleep dentists.
Systems-based Solutions
A comprehensive end-to-end system is critical. Owning a single HST device or two and thinking you are going to become the sleep medicine guru in your city is like having the best tires for your car but no engine or steering wheel. You probably aren’t going to go very far.
On the front end, a dedicated practice management system for your sleep business is a must if you intend to scale your sleep practice up beyond that of a one-case-per-month hobbyist. Systems such as DentalWriter™ (Nierman Practice Management, Tequesta, FL), DS3 (Dental Sleep Solutions, Bradenton, FL), and Imagn (DevDent, Orem, UT) provide products to meet this need. An increasing number of “sleep only” practices have been adopting EHR platforms like AdvancedMD™ (AdvancedMD, South Jordan, UT) and athenahealth™ (athenahealth, Watertown, MA) because of the high level of customization, connectivity, and robust feature set. The most popular of these solutions provide scheduling, integrated medical charting with screening and exam forms, customizable communication letters, templates, SOAP notes and claim submissions to be managed independently or as part of a 3rd-party medical billing service.
Consider the last 5 sleep patients you treated. Pre-treatment, did you correspond with the complete list of the patients’ healthcare providers: Primary care physicians, pulmonologists, ENTs, neurologists, cardiologists, endocrinologists, rheumatologists? Did each of those providers receive a letter from you at the initiation of treatment for your mutual patient? This letter should have outlined how the patient came to your office, the comprehensive list of records and measurements you’ve taken to ensure optimal results such as Epworth or other screener results, pharyngometry and rhinometry reports, CBCT evaluation, and all other relevant clinical data. This level of documentation and communication differentiate your practice and combat any preconceived notions they may have about collaboration with you.
Post-treatment, those same physicians get another letter from you with a status update, follow-up subjective evaluation, and sleep study results. Did the letter outline any ongoing concerns or issues they may need to monitor such as hypertension medication dosage? Did it summarize treatment, and conclude with an offer for complimentary consultations with any other patients struggling with obstructive sleep apnea (OSA) or CPAP intolerance? Did your letter emphasize that you accept all major medical insurance? Did it highlight your status as a Medicare Provider?
Your responses to those last two questions are critical. Every letter should remind referral sources of that. In an informal survey, the number one reason the physician respondents cited for not referring to dentists was not concern about appliance efficacy. The primary reason was concern about medical insurance coverage. One respondent shared that a patient reported seeing a dentist who said, “We don’t take insurance, our cash fee is $5,000 and we accept Visa, Mastercard, and Care Credit.” Reassuring your current and prospective medical referral sources that you will work with the patient’s medical insurance is critical to future referrals. Harnessing the power of technology through use of sleep software will keep referral sources informed and increase their confidence in you as a partner which will drive more referrals.
Scanning the Horizon
The advent of intraoral scanning (IOS) has streamlined the DSM records process by reducing chair time for impressions and bite registrations while providing instantaneous transfer of data to the preferred dental lab. Early generations of scanners struggled with “sleep bites” that had large open spaces between arches. Significant advancements have been made with the recent generation of scanners and IOS software such as the CS 3700 (Carestream Dental, Atlanta, GA), Heron IOS (3Disc, Herndon, VA), and the i700 (Medit, Seoul, South Korea).
Two of the most prolific dental sleep medical device manufacturers estimate that digital records outnumber analog impressions nearly 4 to 1. Mark Murphy, DDS, D.ABDSM serves as Lead Faculty for Clinical Education at ProSomnus Sleep Technologies. He approximates that 75% of the cases fabricated by ProSomnus are from digital scans. Walid Raad, Chief Executive Officer of American Medical Appliance Company said, “We track this closely and today that number is just shy of 80%. With the way it’s trending, we expect to see this increase to 90% by the end of next year.” Digital scans fit the medical model many sleep dentists are striving for. A growing number of practices have instituted a single consult/records appointment where prospective sleep apnea patients are tested with the pharyngometer/rhinometer and IOS & CBCT scans are captured. When the prescription for the sleep appliance is received, all the necessary records have already been taken to submit to the lab and insurance. This streamlined process from initial engagement to delivery ensures an optimal patient experience while reducing the number of appointments and chair time for the practice.

On the Record – Pharyngometry and Rhinometry
Technology has developed to help clinicians accurately capture records. Acoustic geometric imaging is one proven way to do this. While not new, it has continually evolved since E. Benson Hood Labs developed a commercially viable acoustic rhinometer in the mid-1980s. This was followed soon after by the commercialization of acoustic pharyngometry. The technology was acquired by Sleep Group Solutions (Hollywood, FL) in 2006 and has undergone two significant technology iterations to further improve its utility in the DSM field.
The Eccovision Acoustic Pharyngometer/Rhinometer uses two distinct handpieces known as wave tubes to measure the oral and nasal airways, respectively. The system generates an acoustic pulse that travels into the airway and transmits out to microphone receptors in the wave tube. Proprietary Eccovision software analyzes the reflected sound and creates a pharyngometer/rhinometer graphical representation of the cross-sectional area of the airway as a function of distance. The rhinometer measures 8cm into the nasal airway, and the pharyngometer measures 25cm into the oral airway.

The genesis of the technology was to assist otolaryngologists and anesthesiologists by providing an efficient, radiation-free way to identify upper airway obstructions. This was especially useful in the ENT field to justify medical necessity and quantify outcomes related to upper airway nasal surgery. In the early 90s Hoffstein et al. concluded that, “…this technique is the only one which allows non-invasive, accurate, reproducible and inexpensive measurements of the upper airway…it is capable of providing dynamic characteristics of the upper airway.”
Being able to measure static airway size as well as real-time dynamic change is a critical aspect of the utility of acoustic imaging in dental sleep medicine. Obstructive Sleep Apnea is a disease of airway collapsibility, not necessarily airway size. Simply stated, large airways that are highly collapsible can have OSA while small airways that are otherwise very stable may not. It was not long before numerous studies cited measurement by acoustic pharyngometry to be indicative of both the presence and potential severity of OSA. Rivlin et al and DeYoung et al concluded respectively, “The acoustic technique is performed in the awake state and needs a minimal degree of patient cooperation. The good correlation between pharyngeal cross-sectional area and the severity of the disorder may give us a simple way to detect patients with OSA.”
The study went on to state, “The current study demonstrates that Minimum Cross-Sectional Area, determined by acoustic pharyngometry, can significantly differentiate between those with mild/no-OSA versus moderate-to-severe OSA…In conclusion, we have demonstrated that acoustic pharyngometry provides an objective and simple test with strong independent predictive value for the presence or absence of moderate-to-severe OSA.”
…the position determined with the 70% George Gauge bite was, on average, 5.0mm more protrusive than the pharyngometer established bite position.
The technology has been widely embraced in DSM because of the strong correlations between acoustic measurements and the presence and severity of OSA. The ability to see airway collapse and minimum-cross-sectional area (MCA) in real time presents a compelling measurement for sleep dentists.
What is the goal of oral appliance therapy? We are not growing airways. We are taking airways that have excess tissue, poor compliant muscle tone, and outside pressure from the tongue and lateral pharyngeal fat pads and adding vertical and horizontal dimension to the bite position to create adequate stability. Providing an instantaneous radiation-free measurement accurately depicting airway collapse that strongly correlates with presence and severity of OSA enables clinicians to show how the airway behaves in response to multiple mandibular positions.
It was noted in DeYoung’s paper and in subsequent publications, a measurement of < 1.86cm2 for the MCA of the airway between the oral pharyngeal junction (OPJ) and the glottis was identified as a key indicator of risk for OSA.
In The Sleep Magazine, 2012, Atul Malhotra, MD declared, “These data suggest that acoustic pharyngometry can be used to anticipate response to Mandibular Advancement Splint (MAS) therapy”
In 2020, Jerry Hu, DDS and John Comisi, DDS, MAGD published “Vertical Dimension in Oral Appliance Therapy” in the Journal of the Academy of General Dentistry. Several key findings included that the occlusal position established via pharyngometry was effective in lowering the AHI without the need for appliance titration procedures. Additionally, the position determined with the 70% George Gauge bite was, on average, 5.0mm more protrusive than the pharyngometer-established bite position.
As a reader of Dental Sleep Practice, you are likely familiar with the concept of Maximum Medical Improvement (MMI). We propound that appliance therapy’s goal is MMI with the least amount of mandibular positional change possible. It has been well documented that complications from appliance therapy increase exponentially as we reach patients’ range-of-motion and anatomical limitations with excess titration. Aarab, et al demonstrated that the number of side effects increase as protrusion exceeds 50%.12
Use of acoustic pharyngometry to identify MCA, along with subsequent titration tests with bite repositioning jigs to determine airway collapsibility, and ultimately, identification of an ideal airway “sweet spot” (as a starting point for appliance therapy) have gained significant traction among dental sleep practitioners.
In 2020, Opsahl et. al concluded in the Journal of Oral Rehabilitation that, “The (AP) Acoustic Pharyngometer protocol applied seems to contribute to the excellent effect of OA treatment in this study”
In the following, acoustic airway readings are displayed on a graph showing a 2D line representing cross-sectional area as a function of distance throughout the airway. Anatomical landmarks can be identified and isolated so that the entire airway from OPJ through oropharynx, epiglottis, hypopharynx, and glottis can be analyzed.
Eccovision software analyzes the baseline airway size and compares this to airway collapsibility measurements resulting in a stability percentage based on the dynamic collapsibility of the tissue. The higher the stability percentage, the less collapsible the airway. Additionally, the minimum cross-sectional area measurement (MCA) is identified – in the case of the patient graphically presented in the foregoing, has a 1.1cm2 MCA (at collapse).

But the Patient is Upright and Awake…
A common misconception about acoustic pharyngometry is that it is attempting to replicate a “sleeping airway.” To the contrary, it is measuring the propensity of an awake airway to collapse and the degree to which the airway is susceptible to collapse. Airway behavior changes during supine sleep. This is not in question. According to Malhotra, the upper airway collapsibility measured during wakefulness provides useful physiologic information about pharyngeal mechanics during sleep.7
Positional effects on pharyngeal size have been studied extensively. Martin et. al8 showed that when measured in a seated upright position, patients with OSA had smaller cross-sectional area readings at the OPJ than those that snored as well as non-apneic patients. When measured supine there was no statistical difference in airway measurement amongst the three groups.
The authors concluded that the findings support the supposition that OSA patients will unconsciously defend and protect their airway when put in an airway compromised supine position. Other studies9 have also concluded that there is increased muscle activity and genioglossus activation in patients with OSA when tested in a supine position. Anyone in dentistry has experienced this in the form of “wrestling” with a patient’s tongue while trying to do dental work. The same propensity to protect the airway does not exist in patients when they are upright readily enabling the clinician using the acoustic pharyngometer to obtain accurate, reproducible, results without the patient compensating for airway collapse.
In summary, people are tested upright and awake. Those measurements, while not exact replications of what happens in supine sleep, correlate very strongly with OSA and our ability to put the patient in a position where airway collapse is greatly reduced.
Will This Work?
Many dental practices struggle to successfully present oral appliance therapy to patients. The Fall 2021 issue of Dental Sleep Practice features multiple industry opinion leaders who shared their thoughts and insights on case presentations techniques. We hypothesize that treatment presentation can be distilled to three key elements:
- Listen to their problems – identify the afflictions
Listen, ask questions, and listen some more. Stop presenting the treatment so early in the process. By presenting the appliance (solution) to a patient who has yet to fully understand their problem, treatment can be misperceived as a commodity; something that can be shopped or postponed for a “better deal.”. This will thrust you into a discussion about money, insurance, and cost. That conversation can lead to “mutually assured disenchantment”, another type of MAD but one that no one benefits from.
Instead, actively listen to the patient’s chief complaints and make sure you dig deep into those. If their complaint is “my partner hates my snoring” the patient’s problem is not the snoring. Their problem (affliction) is that they may be in separate bedrooms from their partner and their relationship is being harmed by the snoring. If their complaint is fatigue, then dig deeper for the affliction. Maybe it’s that they don’t have enough energy to play with their grandchildren or that they are so tired they have fallen asleep while driving. Document those afflictions so you can reference them again because those are going to become the patients “why”, their true motivator for treatment. In his book Influence the Psychology of Persuasion, author Robert Cialdini writes, “The idea of potential loss plays a large role in human decision making. In fact, people seem to be more motivated by the thought of losing something than by the thought of gaining something of equal value.”13
- Speak to positive outcomes
Take those afflictions and fears of loss (spouse, time with kids, etc.) and translate them to positive outcomes. Oral appliance therapy will likely reduce the AHI, increase SpO2, lower blood pressure, and help them sleep better. However, for most patients, the chief complaints, afflictions, and fears you gleaned earlier in the process have nothing to do with those. When was the last time a patient came in and said, “My AHI is out of control, I really want to find a way to get it down to a more manageable number?”
Focus on positive outcomes, ask in the form of a “yes” question. Redirect the fear they had into positive outcomes with therapy. It is rarely about sleep test metrics or why your appliance is so great and how comfortable it will be. It’s always about turning the affliction and fear into positive outcomes.
“Aren’t you looking forward to being able to sleep in the same bed as your partner again?”
“I bet you’re excited to be able to drive home from work without fear of falling asleep and hurting someone.”
“Isn’t it going to be great to have energy again to play with your kids?”
- Be confident & share it
This is where using objective tools like acoustic pharyngometry, subjective snore sounds, and even CBCT scans can all assist in creating confidence with your patient. Thus far, in the process with them it has been largely subjective so having objective measurements to lean on at this point will go a long way in generating a commitment from the patient. If you can demonstrate how their airway improves several hundred percent in a new position, it can instill the confidence they need to proceed with treatment. Often during the process with the clinical sleep assistant working through the various bite jigs, the patient will share in the results and have that satori moment. They will see and feel their airway no longer collapsing. As you identify that proverbial sweet spot with ideal vertical and protrusion the doctor, staff, and patient all feel greater confidence that appliance therapy will work.

How Can I Eliminate or Reduce Titration?
What is titration? Where does it come from and why do we talk about it with oral appliance therapy? Much of what we do in dentistry is measured in microns – calculated and precisely performed. This leaves the authors bewildered by how some providers are okay with just guessing when it comes to oral appliance therapy.
Pearson’s Law states, “When performance is measured, performance improves. When performance is measured and reported back, the rate of improvement accelerates.” Measurement is key.
Titration is the continual adjustment of dose based on patient response. We adopted titration from the Positive Airway Pressure lexicon. PAP pressure can be adjusted just as appliance position can be advanced. So, are both appliances and CPAP dose-dependent? The answer is “sort of.” This means they both yield response to change, but it’s not indefinite and there is a point of diminishing return.
The image in Figure 4 shows an endoscope looking down an airway as various amounts of pressure with PAP therapy is applied as measured in cmH2O. You will notice the percentage increase in airway caliper (increase in minimum cross-sectional opening) is significant through the lower numbers and even to 8 or possibly 10cmH2O at which point the return on increasing pressure is essentially non-existent. One reason patients are intolerant to PAP therapy is difficulty tolerating higher pressures – so going from 10 in this example up to 20 does not yield meaningful increases in airway cross-sectional area. Instead, would most certainly result in decreased compliance and increased complication from therapy. Bottom line; there is a therapeutic ‘sweet spot’ that provides maximum benefit. Increasing beyond that point does more harm than good.
The same can be applied to appliance therapy. With appliances, we are dealing with change in two dimensions. Vertical, as evidenced by Hu and Comisi5, impact airway collapsibility as does horizontal advancement. Rehab et. al10 also documented the effect of changes in the intermaxillary distance in mandibular advancement splints noting that, “The use of MAS with increased vertical dimension improved the velopharyngeal caliper and improvement in PSG variables especially AHI was observed”
The George Gauge has been commonly used as a method for identifying oral appliance starting position. The gauge is available with 2mm and 5mm vertical bite forks, and it’s often cited that starting patients at 60-70% of their total protrusive range is average. The shortcomings associated with this method are glaring. What if either of those fixed vertical dimensions are not ideal for your patient? How would you even know? And if 60-70% protrusion is “average”, how do you know if you are starting too far or not far enough? Or how far you need to go after delivery? Or if you nailed it perfect on day one?
Allow us to illustrate this point with a simple analogy. The average size shoe for US men is a 10.5, and the average for women is 8.5. When we buy shoes, do we start everyone at 10.5 and slowly titrate up or down in .5 increments until we get to a proper size? Why not measure in real time? The analogy illustrates that we all have a different airway just like we all have different feet. By utilizing technology, we can more accurately and rapidly arrive at a ‘sweet spot’ treatment position often on day one with zero appliance position change. It is this level of predictive accuracy our patients deserve and referring physicians expect.

From Theory to Practice
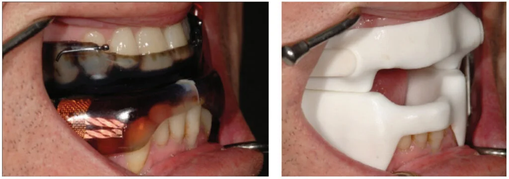
Using pharyngometry in conjunction with bite repositioning tools such as Lucia Jig Kits (Great Lakes Dental Technologies) or the Airway Metrics component system, the sleep assistant can view the airway’s ability to collapse in various positions. This image shows a 6mm vertical jig in an edge-to-edge bite position. The patient performs a collapse test on the pharyngometer, and then a new jig is attempted at a different vertical. Once the optimal vertical position is identified then the patient is stepped forward in 1mm increments. The goal is to find the position that yields the maximum medical improvement in airway measurements with the least extreme vertical and horizontal positions.
In figure 6, the same patient is shown in red with a 1.1cm2 minimum cross-sectional area measurement improved to a 2.08cm2 reading with a bite jig in place. A robust response to three-dimensional mandibular repositioning like this is highly indicative of a positive treatment result with appliance therapy set in that position.

One of the costliest aspects of appliance therapy is the ‘long haul’ case where you adjust, re-test, adjust again, re-test again, and then adjust some more. Then, as the appliance is maxed out, we do not know where to go. Consequently, most clinicians make a new appliance or adjust the current one with a different vertical and try again – endlessly searching for a position that may or may not exist and at which they may never arrive. Oftentimes, the patient loses confidence in the therapy and discontinues use, or possibly worse, they continue using an appliance that is not positioned in an ideal spot and they live with sub-optimal results.
This dose-sampling, position-seeking approach is irresponsible, unprofessional, and costly. Thankfully, technology and innovation open new doors to predictability and efficiency. By utilizing an evidence-based approach to appliance therapy with pre-measurement and pre-titration of your patient you can arrive at the treatment position quickly and predictably while greatly eliminating appliance adjustments.
It’s Not Working! Now What?
Everyone has patients come in with appliances made from other dentists or perhaps even a case you have struggled with treating successfully in the past. Here, we will look at how technology can be used to help revive and turn around a case that had a sub-optimal result with appliance therapy.
The patient in Table 1 was instructed to advance the appliance post-delivery 4mm protrusively beyond the initial set point. Subjective reports of snoring improved however no significant improvement in other subjective metrics.

What do we do? Do we say, “You’re severe, this is the best we can do” and then encourage him to resume using CPAP? Before doing so, we opted to use acoustic pharyngometer to measure his baseline airway collapse (RED) and identify the minimum cross-sectional area and then see how his reading looks with his appliance in place (YELLOW).

This patient has a 1.1cm2 collapse and with his appliance in place it increases to 1.28cm2. This would not qualify as a statistically significant improvement and treatment in this position would not be recommended. This is validated by the fact that we know the appliance is not working well for the patient in this position despite having advanced it significantly on his own. While not the most glamourous feature, negative predictive value is important as well. Loube et. al11 used acoustic pharyngometry to evaluate changes in the pharynx produced by mandibular advancement and found that “no statistically significant change” was 95% predictive of appliance failure. As has been discussed at length in the literature, there exists a subset of patients who do not respond well to appliance therapy. Identifying a difficult case or potential non-responder up front would be very beneficial in saving time and effort as well as directing the patient to a more optimal therapy.

In this case a new bite was taken using bite jigs to identify a position where there was shown to be a 156% improvement in airway minimum cross-sectional area. This robust improvement is highly indicative of a positive outcome therefore, a bite was scanned and submitted in this position.

Figure 9 shows the patient’s previous dorsal device and new Panthera D-SAD (Panthera, Quebec, Canada) appliance. Note how much less protrusion is built into the new appliance yet it yields a significantly improved airway reading. Follow-up sleep testing supported the findings from the pharyngometer with the correct position greatly improving clinical outcomes:

Conclusion
Technology has been the underpinning of dental sleep medicine’s explosive growth. Cutting edge materials, device designs, and manufacturing capabilities have delivered more effective appliances. Software innovations have led to new efficiency gains, increased reimbursement, better patient experiences, and improved interdisciplinary communication. Seismic shifts in the areas of intraoral scanning and predictive instrumentation have led to shorter records-to-delivery times with increasingly accurate records and less chair time. This leads to increased practice revenues, improved profit margins, and fewer costly appointments – a win/win for patients and practices.
Airway ‘sweet spots’ do exist and utilizing technology like acoustic pharyngometry can identify how the airway responds to mandibular positional change. This provides insight into which patients will respond favorably to oral appliance therapy, who will not, and where clinicians should take bite registrations for maximal efficacy and minimal titration. The information gleaned from these tests is clinically useful to help reduce future adjustments and to better educate patients which builds confidence in your proposed treatment plan.
Editor’s note: The case study shown in this article was provided courtesy of Dr. John Carollo, DABDSM.
Glennine Varga discusses the intersection of technology and dental sleep in her article, “The Use of Technology in a Dental Sleep Practice” here: https://dentalsleeppractice.com/use-technology-dental-sleep-practice/
References
- The Acoustic Reflection Technique for Non-invasive Assessment of Upper Airway Area. European Respiratory Journal, 1991. Authors: V. Hoffstein, J. J. Fredberg
- Upper Airway Morphology in Patients with Idiopathic Obstructive Sleep Apnea. American Review of Respiratory Disease, 1984.Authors: J. Rivlin, V. Hoffstein, J. Kalbfleisch, W. MnNicholas, N. Zamel, and A. C. Bryan
- Acoustic pharyngometry measurement of minimal cross-sectional airway area is a significant independent predictor of moderate-to-severe OSA. Journal of Clinical Sleep Medicine Vol 9, No. 11, 2013. Pamela N DeYoung, B.S., Jessie p Bakker, PhD, Scott A Sands, PhD, Salma Batool-Anwar, M.D, James Connolly, James Butler PhD, Atul Malhotra, MD
- Using Anatomical Assessment to Guide Oral Appliance Therapy.Atul Malhotra, MD. The Sleep Magazine, 2012
- Vertical dimension in dental sleep medicine oral appliance therapy. Journal of the Academy of General Dentistry – July/Aug 2020. Jerry C. Hu, DDS, John C. Comisi, DDS, MAGD
- Acoustic pharyngometry – A new method to facilitate oral appliance therapy. Journal of Oral Rehabilitation, July 2020. Ulrik Leidland Opsahl1,2,3 | Morten Berge1,2 | Sverre Lehmann2,4 | Bjørn Bjorvatn2 | Per Opsahl3 | Anders Johansson1,2
- Malhotra A, Pillar G, Fogel R, et al. Upper-airway collapsibility:measurements and sleep effects. Chest 2001;120:156–161
- Martin S, Marshal I, Douglas N. The effect of posture on airway caliber with the sleep apnea/hypopnea syndrome.Am J Crit Care Med 1995;152:721–724
- Douglas NJ, Jan MA, Yildirim N, Warren PM, Drummond GB. Effect of posture and breathing route on genioglossal electromyogram activity in normal subjects and in patients with sleep apnea/hypopnea syndrome. Am Rev Respir Dis 1993;148:1341–1345
- The effect of changes in the intermaxillary distance in mandibular advancement splints as a treatment of Obstructive Sleep Apnea.Tanta Dental Journal 12: 193-198
- Rehab Abdallah, Hoda Rashad, Hahed Kashef, Mohamed El-Sheikh Loube D. Predictive value of pharyngometry-derived measurements for oral appliance treatment of OSAS. Seattle, WA: Sleep Disorders Center, Virginia Mason Medical Center; 2000
- Aarab G, Lobbezoo F, Hamburger HL, Naeije M. Effects of an oral appliance with different mandibular protrusion positions at a constant vertical dimension on obstructive sleep apnea. Clin Oral Investig. 2010;14(3):339–345.
- Cialdini, R. B. (2007). Influence: the psychology of persuasion. ed. ; 1st Collins business essentials ed. New York: Collins.
Dr. Jason Doucette is a Nevada native; he attended the University of Nevada, Reno and received his bachelor’s degree of science in 1995. He then attended Oregon Health Sciences University in Portland, Oregon where he received his Doctor of Dental Medicine in 1999. Dr. Doucette returned to Reno to begin his career in dentistry. As a result of Dr. Doucette’s extensive training and background in comprehensive dentistry over the last eighteen years, coupled with his concern for every individual’s overall health, Dr. Doucette has become acutely aware of the vital role that efficient sleep plays in the optimal health and healing of his patients. Dr. Doucette is very passionate about heavily screening and treating all of his patients for sleep breathing disorders such as snoring and obstructive sleep apnea.
Dr. Jeff Rodgers specializes in dental sleep medicine and has been in private practice for over 20 years. A Diplomate of both the American Board of Dental Sleep Medicine (ABDSM) and the American Sleep and Breathing Academy (ASBA), Rodgers is a board-certified expert in sleep, treating patients who suffer from sleep breathing disorders at his practice Sleep Better Georgia in Dunwoody, Ga. He is committed to raising awareness of sleep issues and oral appliance therapy as a treatment option for the common, but often undiagnosed, condition of sleep apnea. Dr. Rodgers earned a BS in biology from Lee University in Cleveland, Tenn, and is a 1995 graduate of the University of Alabama School of Dentistry.